Proxident

Blanchiment & Hygiéniste

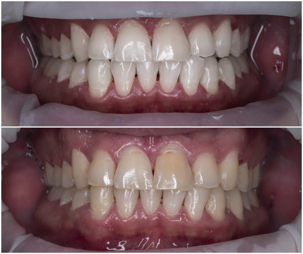
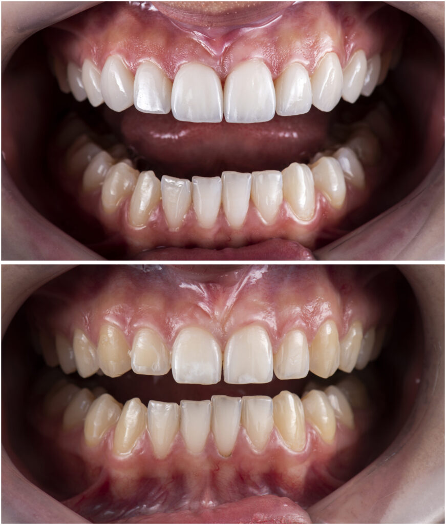
Le blanchiment dentaire pour un beau et éclatant sourire en tout temps.

Difficile de sourire en public car vos dents sont teintées de jaunes ? Avec le temps, cela peut être normal, mais faut-il pour autant cacher vos dents ? Non, le blanchiment dentaire est une des solutions pour éliminer les traces de colorations sur vos dents de manière rapide et efficace.

Nous proposons deux versions de blanchiment dentaire, direct au siège en instantané et indirect à faire chez vous, tranquillement et à votre rythme, les deux méthodes sont valables, c’est au choix du patient et de son budget.

Nos blanchiments dentaires sont sûrs et sans danger, nous travaillons avec la gemme très connue d’Opalescence. Nos hygiénistes dentaires vous conseilleront avant de vous vendre ces produits. Bien sûr, un soin de détartrage est requis avant une telle pratique, mais également un examen clinique de vos dents et vos gencives.

blanchiment dentaire Fribourg

Avant de débuter un blanchiment dentaire, vous serez convié à un rendez-vous avec une de nos hygiénistes dentaires, qui ont la mission de prévenir et traiter les maladies de la cavité bucco-dentaire (gingivite, parodontite), éliminer les facteurs inflammatoires (tartre, plaque) et informer les patients des mesures prophylactiques adéquates pour le maintien de la santé des dents et de leurs gencives.

L’hygiéniste dentaire est un acteur important de la médecine dentaire, il permet de résoudre les problèmes liés à l’esthétique du sourire.

Nos honoraires pour les blanchiments sont :

Direct au siège CHF 430.- * conditionné à un soin « clean » de détartrage, polissage.

Indirect à faire chez soit CHF 79.- * conditionné à un soin « clean » de détartrage, polissage.

A votre service !

Découvrez les avant-après

Tarif
DENTOTAR minimum, à 1.05.- pour les adultes et à 1.00.- pour les enfants
Horaires

Du lundi au vendredi: 08h00 – 20h00